是什麽,讓正值壯年、身體健康的客工們突然癱瘓,喪失語言能力?
是什麽,讓原本是家庭經濟支柱的他們一夜之間半身不遂,臥床不起?
據新加坡媒體12月4日報道,新加坡兩名四肢健全、沒有潛在疾病的健壯客工突然中風和心髒病發作,經醫生診斷,發現他們之前是新冠病毒的無症狀感染者。
如今病發,相信與之前感染新冠病毒有關。
換句話說,這兩位客工在不清楚自己感染新冠病毒的情況下已然自行痊愈了,但是目前正在承受著新冠病毒帶來的後遺症。
新加坡公益組織“客工亦重”透露,至少有四名客工在新冠病毒影響下面對長期血栓的威脅。
更加可怕的是,新加坡之前曾有數萬名客工在此次疫情中確診。他們之中,又會有多少人將要面臨新冠後遺症?
在疫情正在逐步得到控制的當下,或許我們該想一想:新冠疫情到底留下了哪些後遺症?
01. 新冠後遺症大爆發?
伴隨著北半球的秋冬降溫,新冠疫情在全球也有些死灰複燃(抑或火勢正旺)的迹象。
10月,全世界大部分國家的新冠疫情都出現了劇烈反彈;截至11月底,美國已經有超過1330萬確診病例,疫情甚至嚴重到平均70秒就有1人死于新冠疫情。
12月2日,針對美國國家過敏症和傳染病研究所主任福奇稱美病亡人數年底或超30萬,有媒體稱,全球疫情將面臨最危險、最黑暗的“寒冷冬天”。
是的,我們跟新冠疫情的硬仗還沒打完。
而就在疫情還沒控制好的當下,關于新冠後遺症的報道也屢見不鮮:
今年3月,猶他爵士隊中鋒魯迪·戈貝爾成爲NBA第一例被確診的新冠病例,NBA立刻宣布停賽。
確診沒幾天,他就在社交媒體發帖表明自己喪失了嗅覺。被治愈後,7月,戈貝爾在接受家鄉媒體法國《隊報》的采訪時談到:
“嗅覺還沒有100%恢複。……可以聞到氣味,但只能近距離聞到。”
英國的查爾斯王子的確診當時讓不少人震驚,因爲當時他是英國王室第一個染上新冠的成員。
據BBC報道,在查爾斯王子康複後,他出現了和戈貝爾類似的狀況:嗅覺和味覺仍然受到影響。
英國王子倒黴,首相也沒能幸免。今年3月27日,英國首相鮑裏斯接受了新冠檢測後確診。不過好在有驚無險,在鬼門關走了一圈後,鮑裏斯在4月底痊愈,還返回了首相的工作崗位。
不過就在他痊愈一個多月後的某次新聞發布會上,鮑裏斯自曝視力收到了影響:
“我好多年都不戴眼鏡,現在突然要戴了,我覺得這是病毒的後遺症。我覺得新冠病毒會對視力産生損傷。”
美國傳奇說唱歌手Scarface感染新冠,治愈以後,身體逐漸恢複,症狀都已消失,唯獨腎衰竭的情況在不斷惡化。 腎髒的損傷幾乎不可逆。如今,Scarface正值壯年,卻不得不靠一周四次透析活著。
全球頂尖病毒學家、歐盟委員會主席的特別顧問彼得·皮奧特也在新冠治愈後表示,自己並未擺脫病毒的控制:
“新冠病毒將改變我的一生”。
今年4月,皮奧特確診新冠。作爲一直和病毒疾病打交道的人,他一直堅持運動,作息規律,但他表示新冠肺炎來勢凶猛,遠超自己預計。 幸運的是,因爲身體底子好,皮奧特在住院治療一周後,病情就得到了控制。
但出院後沒多久,他開始出現肌肉萎縮、全身無力的情況。 以前經常運動的他,現在爬樓梯都會喘不過氣,似乎一下子老了20歲。更嚴重的是,他時常感到呼吸困難,被診斷爲肺纖維化。
“我永遠不會忘記那種感覺。那不是疲勞,而是筋疲力盡。”
有著跟皮奧特類似症狀的意大利球星馬爾蒂尼表示,雖然自己只是輕微的感染了新冠,但是卻留下了非常影響生活和工作的後遺症:
“我今天試著去健身房進行一些訓練,但是才過了短短的10分鍾的時間,我就堅持不住了。”
此外,各地陸陸續續都有關于新冠後遺症的統計與研究進行發表:
加拿大一位頂級腎髒病專家曾揭露:加拿大有8%-12%的新冠肺炎重症患者,已經出現了嚴重的腎損傷;
香港大學醫學院內科學系臨床教授孔繁毅透露,截至10月底,香港瑪麗醫院約500名新冠康複者當中,有30人、即約6%出現後遺症,包括失去味覺及嗅覺,未完全恢複,亦有5人、約1%患者有肺纖維化情況;
11月27日,英國衛生部長漢考克表示:英國成千上萬的2019新冠患者長期受後遺症困擾……
我們需要知道:不只是新冠疫情,新冠後遺症也正在全球肆虐。
02. “新冠後遺症”真實存在嗎?
很長一段時間裏,各大社交媒體上有很多關于新冠後遺症的報道,而且常常使用令人驚悚的標題。
關鍵詞基本就是“恐怖”、“多器官損傷”、“長期傷害”。
也有很多人提出了不同的看法。
其中一種代表性的說法就是:很多所謂的“新冠後遺症”,其實可能只是治療不徹底或者是新冠病毒感染機體帶來的病理改變。
另一種觀點是:很多人關注的所謂“新冠肺炎後遺症”嚴格來說不算是後遺症,而應該叫做並發症。
到底誰說得對?
首先,我們需要知道什麽是“後遺症”:根據臨床定義,“後遺症”指的是疾病愈後所遺留下的器官缺損或功能障礙等症狀。
就新冠而言,“治療不徹底說”的觀點是:新冠病毒感染後可以分成急性感染期和慢性恢複期兩個階段,各個網站上統計的“累計治愈數”其實是在新冠患者符合出院標准後的統計人數,也就是度過急性感染期的人數。
而這些度過急性感染期後出院的患者其實還沒有得到真正的“治愈”,肺部可能仍有炎症,他們還需要回到家裏完成慢性恢複期。
也就是說,大部分患者在出院之後,雖然一般生活不會受到影響,但是如果進行激烈運動,由于肺部還有炎症,可能還會存在呼吸不暢等不適症狀。 嚴格來說,這並不是新冠後遺症,而是身體尚未完全恢複。
至于“並發症說”,則是認爲:很多人關注的所謂新冠肺炎後遺症,除了持續的呼吸道症狀以外,更多的是關注一些非呼吸道的症狀,比如神經症狀、心髒病、肝腎功能損傷等等。 這些症狀嚴格來說不算是後遺症,而應該叫做並發症。 以“後遺症”的定義看來,兩種說法都有道理。
4月到7月,武漢大學中南醫院ICU主任彭志勇團隊對100位新冠重症患者進行隨訪,發現:
90%危重症病人肺部功能仍處于受損狀態,病人們的免疫系統也並未恢複常態;
另有20%—50%的患者,出現了抑郁狀態;
幾乎全部隨訪病人,都會有或多或少的病恥感,很難像從前那樣,完全回歸正常生活。
莎士比亞在《羅密歐與朱麗葉》中寫道:
“玫瑰即使換了一個名字,她也依然芬芳”
放在如今,不管對這些人産生影響的到底是不是新冠後遺症,新冠也都在影響著他們出院後的健康和生活。
盡管“新冠後遺症”的叫法似乎已經深入人心,但綜合考量,或許我們真的應該給“新冠後遺症”加個引號。
這裏的“新冠後遺症”就不是嚴格臨床醫學定義上的“後遺症”,而是感染新冠康複之後,身體上或多或少受到的影響。
11月28日上午,在上海科普大講壇上,華山醫院感染科主任張文宏進行了專題講座,並對一些熱點問題作出了回應。
在回答新冠是否有後遺症的提問時,張文宏表示:
“新冠病毒治療到目前爲止,沒有發現新冠特異性的後遺症。”
不過不要以爲沒有特異性不良反應就可以放心了,這句話的意思是,這次的新冠沒有獨特的後遺症,但是病毒性疾病都會有一些常見的後遺症。
“很多病毒性疾病都是全身感染,很長一段時間裏會對神經系統有一些損害,肺的纖維化恢複需要一段時間。同時新冠病毒到現在也就是幾個月的時間,沒辦法說幾年後的事情。”
國內的新冠疫情控制得相對不錯,後遺症這個數據確實沒有國外能統計到的多,國外的一兩例後遺症案例也無法代表整體,那就不妨就來看看國外的更大範圍的研究。
9月29日,據路透社報道,韓國中央防疫對策本部副本部長權埈郁公布了一項以965名新冠肺炎痊愈者的線上調查,其中879人(91.1%)表示,痊愈後仍受至少一項後遺症困擾。
這些後遺症中以疲憊感占26.2%爲最大宗,其次則爲注意力不集中占24.6%。其他後遺症還有心理、精神上後遺症,以及嗅覺、味覺喪失等。
據日本時事通信社11月11日報道,日本和歌山縣公布了一項有關新冠患者後遺症的調查結果。
工作人員給出院兩周以上的新冠治愈患者發問卷、或直接聽取症狀,其中163人回應,有75人表示出現後遺症,占46%。
也就是說,約半數的人表示,出院之後出現了不同的後遺症。
具體症狀包括嗅覺障礙、身體倦怠、味覺障礙、呼吸困難。除了上述症狀,還有人表示出現了健忘和脫發。
對于“新冠後遺症”,BBC也有報道。
根據BBC記者看到的研究資料,大約每20名新冠患者中就有1人病程長達至少8個星期。
所以在那些已經康複的人當中,有些出院了,但後遺症依然存在,幾個月後,還是無法像感染之前那樣正常生活。
BBC在報道中說,醫學界目前把這種現象稱爲“新冠長期症狀”(long covid)。
上述研究和報道樣本不同,數據不同,側重的角度也不同。
但有一點,不管它們強調的是什麽,新冠對人的影響毋庸置疑是會長期存在的。
03. 新冠留給患者的後遺症
6月,一項由蘇格蘭學者領導的研究報告指出,因新冠病毒對各種器官的攻擊,預計新冠重症患者在治愈後,將平均失去12—14年壽命。
這一研究遭到了許多科研人員的質疑,但也側面表明了:
“新冠後遺症”的嚴重性,可能遠超人們的想像。
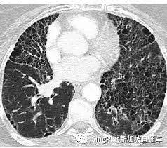
COVID-19被稱爲新冠肺炎,新冠病毒首先引起的就是對肺部的損害。
3月中旬,香港瑪嘉烈醫院傳染中心對首批10名出院病人進行了跟蹤,其中3名治愈者步行加速時會氣促,不能像平常一樣運動,甚至不能像以往一樣工作。
同一時間,首例新冠肺炎屍檢報告發布。
逝者遺體解剖教授劉良表示:
正常的肺含氣,握上去感覺像海綿,但感染新冠病毒的肺一摸就感覺它已經變了,肺裏面被別的東西取代了。
7月18日,法國國家醫學科學院發表了一份有關新冠後遺症的分析報告和建議。法國醫科院成員Patrick Berche教授表示,就算是輕症患者,也會有肺纖維化的後遺症。
肺纖維化會導致呼吸功能衰退,增加呼吸道感染的風險,這簡直就是個定時炸彈。肺纖維化的患者很容易呼吸衰竭而死,這種死因,本質上和淹死是一個道理。
而目前對于肺纖維化沒有特效藥,病情是不可逆轉的。 北京大學第一醫院感染疾病科主任王貴強曾指出:
肺部嚴重感染會發展爲肺纖維化,一部分重症患者治愈後會出現肺纖維,影響日常生活,發展到晚期只能肺移植。
此外,新冠病毒對心髒、肝髒、腎髒等器官可能都會有不同程度的損害。
加拿大卑詩大學醫藥學教授James Russell博士和幾名研究人員發現,在一項以8000名新冠肺炎患者爲樣本的調查中,發現過半重症患者出現了心髒損傷,甚至引發死亡。
一位來自倫敦東部的48歲患者透露,新冠肺炎給她留下了嚴重的心髒損傷:
“治愈後的九周裏我一直感覺很冷,後來醫生告訴我,我患上了充血性心肌病(心髒功能減弱、心腔擴大、心髒不能充分泵血),可能一輩子都這樣了。大部分人會慢慢好轉,但有些人可能要安裝起搏器,甚至需要心髒移植。”
早在4月,就有研究指出,新冠患者普遍存在腎髒損害的情況。
一篇題爲Caution on Kidney Dysfunctions of 2019-nCoV Patients的論文在研究了59名來自武漢、黃石和重慶的59例感染患者病例後,發現63%的患者表現出腎功能不全的症狀,CT掃描顯示100%的患者腎髒影像學異常。
與此同時,英國和加拿大也發現,接受重症監護的新冠患者中,有8%-12%出現了肝或腎衰竭,需要靠長年透析治療才能生存。
中國醫學科學院基礎醫學研究所副所長黃波表示,感染者的肝腎受損可能是由于肺部功能障礙導致:
“呼吸功能出現障礙時,氧氣交換受阻,其它髒器會處于乏氧狀態,而對氧特別敏感的腎髒往往會發生嚴重的功能性損傷。”
除了對人體其他器官産生影響,新冠病毒還會對人的感官造成影響。
關于英國首相認爲新冠會導致視力下降一事,BBC新聞稱,理論上新冠病毒的確可能會影響視力。
患者在感染期間可能會誘發病毒性結膜炎等眼部疾病,而如果瞳孔和虹膜的前部也受到影響,則會導致視力模糊等症狀。
不僅英國首相經曆了視力受損,類似的案例也曾在之前數個醫學雜志也報道過。
3月底發表在《美國醫學會眼科雜志》(JAMA Ophthalmology)上的一項研究發現:
在湖北省宜昌市中心人民醫院就診的38名連續感染COVID-19的患者中,有31.6%的患者出現了與結膜炎一致的症狀,而眼部異常在病情較重的患者中較爲常見。
除了對視力的影響,6月16日發表在美國《耳鼻咽喉頭頸外科雜志》上的一項研究表明:嗅覺和味覺發生改變這一症狀,在新冠肺炎患者中比例高達41%。
還有很多已經康複的新冠患者出現了嚴重的中樞神經後遺症。
新冠病毒對大腦和中樞神經的影響是最撲朔迷離的,還有很多謎底待揭開;至于新冠是否會影響男性生育能力,由于暫時沒有足夠的理論和調查數據支撐,在此也不做展開說明。
值得一說的,是新冠病毒可能會造成的血栓和中風的情況。
這也就是文章開頭提到的新加坡兩名新冠康複客工突然中風癱瘓的原因所在。
隨著對新冠的了解加深,學術界目前已經傾向于認爲,COVID-19 不僅僅是病毒感染,也不僅僅是肺炎,它至少可能也包括血管方面的疾病,涉及凝血功能紊亂的問題。
據《每日郵報》報道,倫敦帝國理工學院的傳染病專家Graham Cooke教授對死于新冠的病人的驗屍報告進行了分析。
結果“非常清楚”地顯示,所有新冠患者的體內都有某種形式的血栓形成:
“我們做了大量的屍檢,非常清楚地顯示,我們觀察的每個病人都有血栓形成的迹象。”
不只是Cooke教授一方,倫敦國王學院的Roopen Arya教授今年5月也曾做出檢驗,發現醫院裏有30%的冠狀病毒患者,體內存在血栓。
“我認爲血栓形成是一個主要問題,這一點已經很明顯了,”
4月10日發表在《血栓形成研究》雜志上的一篇論文顯示:一家荷蘭重症監護病房的184例COVID-19患者中,38%的患者出現血栓形成。一旦血栓脫落進入腦血管,就會導致中風。
紐約西奈山衛生系統神經外科醫生Thomas Oxley和他的同事也警告稱:新冠病毒會導致一些無症狀或症狀較輕的新冠年輕患者中風。
這也就解釋了爲什麽英國高達62%的新冠患者在住院期間發生了中風;同樣也解釋了爲什麽文章開頭的兩位無症狀感染新冠後痊愈的新加坡客工會突然癱瘓在床。
其實,這不是新冠病毒引起的血栓第一次在新加坡“作祟”了。
早在5月,新加坡就出現了全球首起新冠患者主動脈出現血栓的病例。
這位患者是一位39歲送貨司機,來自孟加拉。今年5月份確診新冠。入院三天後,他的右腳感到疼痛,腳趾頭開始發黑。經檢查後,醫生發現他的胸腹主動脈出現血栓,部分轉移到右腳、脾髒和腎髒。
陳笃生醫院立即爲他安排手術,清除腿部血栓,並在主動脈安裝覆膜支架,3個月後這位患者康複。
衆所周知,新加坡客工基數龐大,且多爲青壯或是中年勞力。
此次疫情中,截至11月24日中午十二點,新加坡客工宿舍確診人數爲54502名。
6月8日,新加坡新冠工作小組就表示,新加坡至少一半新增病例爲無症狀感染者。幾乎每出現一例有症狀病例,都至少伴隨著一例無症狀病例。
按照這個比例推算,新加坡至少有27000名以上的無症狀感染者,都是跟這兩位中風客工有類似的情況。
他們之後是否也會受到“新冠後遺症”的影響?這個隱患又該如何去解決?
還沒完呢,有專家預測,以上種種“新冠後遺症”還不是全部,在未來1-3年或許有更多的症狀會顯現。
而且,這還只是這些康複的新冠患者在身體上可能會受到的折磨,還沒有算上疫情爲他們帶來的心理創傷。
總的來說,我們和新冠的對抗,還遠遠沒有結束。
如今,新冠累計死亡人數已經超過154萬,全球確診人數超過6760萬,而它最終會讓人類走向何方,我們還不得而知。
治療好一位患者,並不只是增加了一個治愈數字,對那些被治愈的患者來說,他們要面對的,是將和新冠後遺症對抗的一生。
而即便是僥幸逃過一劫的普通人,也仍然在疫情的陰影下艱難度日。 世界如此之大,但人類的命運卻在一條線上。
我們能做的就是不輕視病毒,時時提防、處處警惕。
最後,送給大家張文宏教授在11月28日上海科普大講壇上做出的一段提醒:
“到明年年底,全球疫苗可以供應充分,但是有些地區接種不到位的話,還是會有輸入性病例的風險。”
張文宏教授建議,疫情期間即使接種疫苗後,也要養成勤洗手,人群密集處戴口罩,適當保持社交距離的好習慣。
做好防護,勇敢的往前走,別掉以輕心,相信我們終究會贏下這一仗。
資料來源:
1. 央視新聞:新加坡醫療報告首次公布掃描影像 新冠肺炎患者肺部出現“碎石路”陰影
2. BBC:肺炎疫情:新冠長期症狀 哪些人風險更高?
3. 木棉說:新冠後遺症大量湧現!患者屍檢結果震驚全球……
4. 聯合新聞網:韓國研究:感染新冠肺炎痊愈者9成有後遺症
5. 聯合早報:冠病19存在後遺症風險
6. 健康界:新冠後遺症的可怕真相
7. 英國大家談:BBC: 新冠患者後遺症超出想像
8. 八點健聞:新冠肺炎後遺症:失去嗅覺的人
9. 旅日僑網:日本確診破10萬人,NHK正式報道新冠後遺症,大腦老化10年以上,記憶力與思考能力大幅衰退
10. 丁香園:新冠“後遺症”從何而來?很多所謂的後遺症,可能都不是真的
11. 網絡公民:曾患冠病客工中風癱瘓 客工亦重募款相助




































